- Главная
- |
- Лечение герпеса
- |
- Лечение цитомегаловируса 5 тип
Лечение цитомегаловируса (герпес 5 типа)


Инфекционный возбудитель, совершенно безопасный для тех, кто здоров, и способный вызвать заболевания с фатальными последствиями у людей с иммунодефицитом, если игнорировать лечение цитомегаловируса, когда он активен. Кроме того, это один из виновников пороков развития у новорожденных, поэтому будущие мамы не должны пренебрегать предложением пройти тесты на наличие вируса герпеса, который классифицирован как пятый тип.

Процент людей, однажды инфицированных и, как правило, почти бессимптомно переболевших, а значит, ставших носителями цитомегаловируса, достаточно высок. Если объединить данные из разных источников, то получается, что в среднем это от 60 до 85 процентов населения планеты. А заражение чаще всего происходит в детстве и никто не обращает внимания на "обычную простуду".
Симптомы и лечение цитомегаловируса у детей
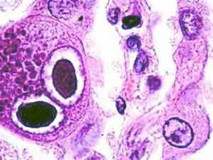
"Гигантская клетка" - именно так трактуется название этой болезни, диагностируемой по ненормально большим, под микроскопом сильно смахивающим на глаз совы, клеткам. Прежде всего, заболевание опасно для малышей первого года жизни. В группе риска недоношенные детки и малыши, имеющие пороки развития, приобретенные хронические заболевания, сниженный иммунитет или ВИЧ-инфекцию.
- Характерным симптомом может стать слюнотечение, поскольку излюбленное место этого вируса слюнная железа, в которой он и провоцирует воспаление. Однако, это не обязательный симптом;
- В период активности вирус передается со всеми жидкостями нашего тела, в том числе вместе с материнским молоком. В данном контексте лечение цитомегаловируса у детей принципиально важно, поскольку инфекция может нанести непоправимый ущерб здоровью малыша;

- Инфекционисты рекомендуют пройти обследование на наличие антител к цитомегалии всем потенциальным мамам еще в период планирования. И крайне важно проводить контроль на протяжении всей беременности, поскольку лечение цитомегаловируса у женщин, готовящихся к материнству, способно предотвратить тяжелые пороки у малыша. Особенно опасны обострения в первом триместре - у ребенка может развиться глухота, существенное снижение интеллекта, психомоторная заторможенность, а также существует высокий риск прерывания беременности;
- Лечение герпеса 5 типа, как правило, носит либо симптоматический характер (если заболевание протекает в виде ОРВИ), либо в тяжелых случаях активность вируса весьма успешно подавляют иммуноглобулином.
Если у вас есть основания для волнения, и вы хотите пройти диагностику и, при необходимости, лечение цитомегаловируса в СПб, - обращайтесь к опытным высококвалифицированным инфекционистам и иммунологам. В нашем центре работают высококлассные специалисты, которые, основываясь на последних научных разработках, проводят полноценное лечение цитомегаловируса в Приморском районе, и непременно будут действовать совместно с педиатрами, гинекологами, гепатологами или гастроэнтерологами в тех случаях, когда это необходимо.
Прием ведут
Цены на услуги по лечению цитомегаловируса (герпес 5 типа)
| № | Наименование | Стоимость |
|---|---|---|
| 1 |
Прием специалиста |
от 2900 до 3400 |
| № | Наименование | Стоимость |
|---|---|---|
| 1 |
Прием специалиста |
от 2900 до 4900 |